CBS News

SpaceX pushes Starship test flight back one day due to ...

If the weather cooperates, the Starship launch will follow the maiden flight of ...

Scientists make "jaw-dropping" discovery about Iron Age...

Scientists analyzing 2,000-year-old DNA have revealed that a Celtic society in t...

Climate scientist: "There's no place that's safe"

Experts discuss the increased intensity we can expect from destructive weather e...

66-million-year-old vomit found by amateur fossil hunter

A paleontologist hailed the discovery as "truly an unusual find," adding it help...

World's biggest iceberg could collide with Antarctic pe...

The biggest iceberg on Earth is heading toward a remote island, creating a poten...

Elusive, palm-sized shrew caught on camera for the firs...

To take photos of the Mount Lyell shrew, three students laid out over 100 traps ...

Asteroid samples revealed clues about the possible orig...

A NASA spacecraft has returned asteroid samples that hold not only the pristine ...

Scientists digitally "unroll" ancient scroll scorched b...

Researchers used advanced technology to digitally "unroll" an ancient Greek text...

Scientists say they've produced world's first IVF kanga...

Australia-based scientists say they've produced the world's first kangaroo embry...

January 2025 was hottest January on record despite fact...

The world set yet another monthly heat record in January, despite an abnormally ...

U.K. firm finds way to turn damaging greenhouse gas int...

Methane is one of the climate-damaging gases emitted by industry, but a British ...

NASA announces plan to bring Starliner crew home next m...

By switching the next space station crew to a different ferry ship, the Starline...

NASA rover captures images of "mother-of-pearl" clouds ...

The clouds contain carbon dioxide and only form high in Mars' atmosphere.

Key facts about asteroid that could hit Earth in 2032

The head of planetary defense at the European Space Agency discusses 2024 YR4, a...

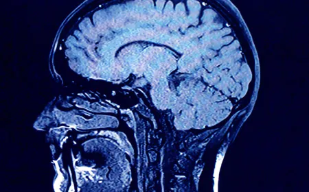
Study finds growing levels of microplastics in human br...

Human brains contain higher concentrations of microplastics than other organs, a...

This website uses cookies to enhance your browsing experience. By continuing to use this site, you consent to the use of cookies. Please review our Privacy Policy for more information on how we handle your data.